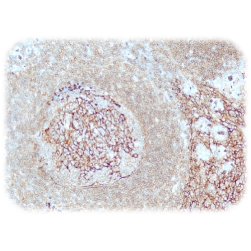
| Clone | QR082 |
|---|---|
| REF | C-G004 |
| Dilution | 1:100 – 1:200 |
| Immunogen | Synthetic peptide of human GLUT1 |
| Isotype | IgG |
| Species of origin | Rabbit |
Glucose transporters are a wide group of membrane proteins that facilitate the transport of glucose over a plasma membrane. GLUT1 is a membrane-associatederythrocyte glucose transport protein that is a major glucose transporter in the mammalian blood-brain barrier. GLUT1 is expressed in many human tissues like colon, lung, stomach, esophagus, and breast. It is over expressed in malignant cells and in a variety of tumors (breast, pancreas, cervix, endometrium, lung, mesothelium, colon, bladder, thyroid, bone, soft tissues, and oral cavity).





