برای تماس کلیک کنید

سما تشخیص آریا ، عرضه کننده متنوع ترین و کامل ترین محصولات کیت های آزمایشگاهی

جستجوی پیشرفته
جستجوی عینی کلمه
جستجو در محتوا
جستجو در عنوان
دنبال محصول یا مطلبی میگردید؟ در این کادر جستجو کنید

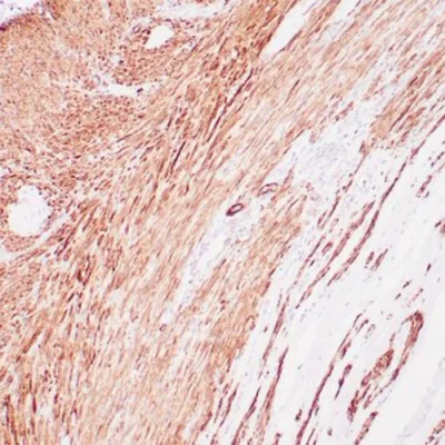
آنتی بادی Smooth Muscle Myosin, heavy chain کلون EP166 برند PathoSage

Intended use:
This antibody is intended for in vitro diagnostic (IVD) use. Primary Antibody is intended for professional laboratory use in formalin-fixed, paraffin-embedded (FFPE) tissue stained in manual qualitative immunohistochemistry (IHC) testing. A qualified pathologist must interpret the results using this product to aid diagnosis in conjunction with the patient’s relevant clinical history, other diagnostic tests, and proper controls.

Presentation:
Anti-human Smooth muscle myosin, heavy chain rabbit monoclonal antibody purified from serum and prepared in 10mM PBS, pH 7.4, with 0.2% BSA and 0.09% sodium azide

Clone

Clone EP166

REF

PSV-IHI0421

Dilution

1:50

Staining

Cell cytoplasm

Control tissue

Breast, uterus

Isotype

IgG

Species of origin

Rabbit

پیمایش به بالا