برای تماس کلیک کنید

سما تشخیص آریا ، عرضه کننده متنوع ترین و کامل ترین محصولات کیت های آزمایشگاهی

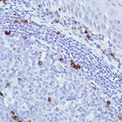
آنتی بادی Immunoglobulin J chain کلون SP105 برند PathoSage

Intended use:
This antibody is intended for in vitro diagnostic (IVD) use. Primary Antibody is intended for professional laboratory use in formalin-fixed, paraffin-embedded (FFPE) tissue stained in manual qualitative immunohistochemistry (IHC) testing. A qualified pathologist must interpret the results using this product to aid diagnosis in conjunction with the patient’s relevant clinical history, other diagnostic tests, and proper controls.

Presentation:
Anti-human J Chain immunoglobulin rabbit monoclonal antibody purified from serum and prepared in 10mM PBS, pH 7.4, with 0.2% BSA and 0.09% sodium azide

Clone

Clone SP105

REF

PSV-IHI0258

Dilution

1:50

Staining

Cell cytoplasm

Control tissue

Tonsil

Isotype

IgG

Species of origin

Rabbit

Scroll to Top