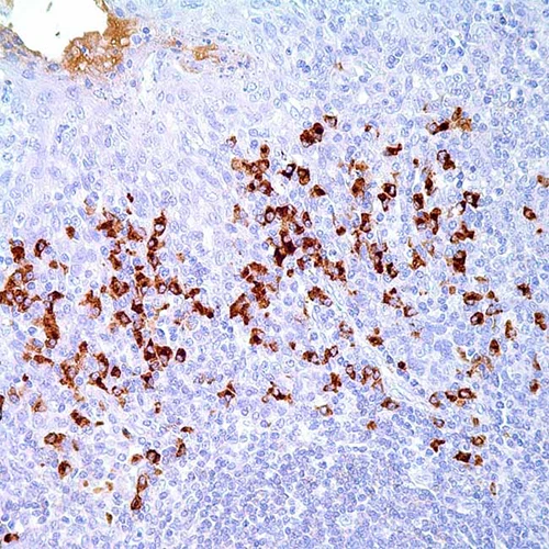
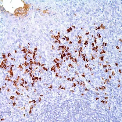
| Clone | Polyclonal |
|---|---|
| REF | PSV-IHI0252 |
| Dilution | 1:50 |
| Staining | Cytoplasmic |
| Control tissue | Lymph node, tonsil |
| Isotype | IgG |
| Species of origin | Rabbit |
Intended use:
This antibody is intended for in vitro diagnostic (IVD) use. Primary Antibody is intended for professional laboratory use in formalin-fixed, paraffin-embedded (FFPE) tissue stained in manual qualitative immunohistochemistry (IHC) testing. A qualified pathologist must interpret the results using this product to aid diagnosis in conjunction with the patient’s relevant clinical history, other diagnostic tests, and proper controls.
Presentation:
Anti-human IgD rabbit polyclonal antibody purified from serum and prepared in 10mM PBS, pH 7.4, with 0.2% BSA and 0.09% sodium azide





